Diş hekimi koltuğuna oturmak çoğu kişi için hala stresli bir deneyim. Kayıp bir dişin yerine implant takılması, genellikle çene kemiğine titanyum vida yerleştirilmesini ve aylar süren iyileşme sürecini gerektiriyor.
CNN International'ın haberine göre araştırma ekipleri, insan çenesinde biyolojik dişlerin yeniden büyütülmesini sağlayacak yöntemler üzerinde çalışıyor.
Bu hedefe ulaşmak hala zaman alacak gibi görünse de, King’s College London’dan Dr. Ana Angelova Volponi, neredeyse yirmi yıldır laboratuvarda diş büyütme üzerine araştırmalar yürütüyor. 2013 yılında, insan ve fare hücrelerinden diş büyütmeyi başaran ekibin bir parçasıydı.
Volponi, bu yıl yürüttüğü çalışmayla, dişin laboratuvar ortamında büyüdüğü materyalde önemli bir gelişme elde etti. Yeni materyal, dişin ağızda geliştiği biyolojik ortamı daha gerçekçi biçimde taklit ediyor. Bu, fare hücrelerinin insan hücreleriyle değiştirilmesi yolunda atılmış önemli bir adım olarak değerlendiriliyor.
İlk adımlar: İnsan diş eti hücrelerinden laboratuvar dişine
Volponi, laboratuvar ortamında diş oluşturma fikrinin 1980’lere dayandığını belirtiyor. 2013’te ekibiyle birlikte oluşturduğu diş, yetişkin insan diş eti (gingival) hücrelerini ağız içinden alınan basit bir örnekle elde edilen ve fare embriyosundan alınan “progenitör” diş hücrelerini bir araya getiren ilk örnek olmuştu.
Volponi çalışmaya dair 'Bu süreç neredeyse üç ayaklı bir sehpa gibi. İki farklı hücre tipi, diş oluşturmak için adeta birbiriyle 'konuşuyor' dedi.
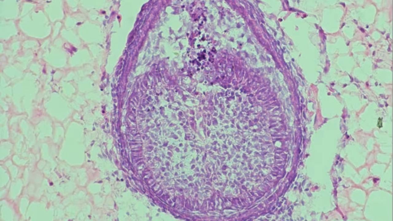
Araştırmacıların “iskelet” veya “scaffold” olarak adlandırdığı bu çevre, diş oluşumunda kritik rol oynuyor. Volponi’nin son çalışması da bu iskeletin geliştirilmesine odaklandı.
2013’te kolajenden yapılmış bir yapı kullanılırken, yeni çalışmada hidrojel adı verilen, su oranı yüksek bir polimer tercih edildi.
King’s College’tan doktora öğrencisi ve çalışmanın ortak yazarı Xuechen Zhang, süreci şöyle anlatıyor:
'Fare embriyolarından hücreleri topluyor, karıştırıyor ve küçük bir hücre topu (pellet) elde ediyoruz. Bu topu hidrojelin içine enjekte edip yaklaşık sekiz gün büyütüyoruz'
İnsan hücrelerine geçiş için yeni umut
Volponi, laboratuvarda yetiştirilen dişlerin insanda kullanılabilmesi için hala pek çok zorluğun bulunduğunu söylüyor fakat bu yeni materyal, hücreler arasındaki etkileşimi iyileştirerek bu hedefe biraz daha yaklaştırıyor.
Araştırmacılar henüz embriyonik fare hücrelerinin yerine yetişkin insan hücrelerini nasıl kullanacaklarını bilmiyor. Ancak bu engel aşıldığında Volponi iki olası yönteme işaret ediyor:
Gerçek dişlerin avantajı
Kişinin kendi hücrelerinden büyütülecek biyolojik bir diş, klasik implantlara göre önemli avantajlar sunuyor.
Böyle bir diş dokuyla mükemmel uyum sağlayacak, iltihap veya reddedilme riski taşımayacak ve doğal diş gibi hissedilecektir. İmplantların aksine kemiğe sabitlenen cansız yapılar değil, duyusal ve esnek organik bir sistem olacaktır.
Dünyada benzer çalışmalar hız kazandı
Bu alanda çalışan diğer araştırma grupları da farklı teknikler üzerinde ilerliyor. Osaka’daki Kitano Hastanesi Tıbbi Araştırma Enstitüsü’nden Katsu Takahashi ve ekibi, diş eksikliğiyle doğan hastalarda diş büyümesini tetiklemeyi amaçlayan antikor bazlı bir tedavi geliştiriyor. Bu tedavi insan klinik deneylerine girmiş durumda ve on yıl içinde kullanıma hazır hale gelebilir.
Tufts Üniversitesi Diş Hekimliği Fakültesi’nden Pamela Yelick liderliğindeki ekip, 2024 sonunda insan ve domuz hücrelerinden oluşan insana benzer dişleri domuzlarda büyütmeyi başardı. Domuzlar, yaşamları boyunca birkaç kez diş yenileyebiliyor. Amaç, bu süreci insan çenesinde tamamen insan hücreleriyle gerçekleştirmek.
Washington Üniversitesi’nden Prof. Hannele Ruohola-Baker’ın ekibi ise, bağışlanan yirmi yaş dişlerinden elde edilen kök hücrelerle insan diş pulpası kök hücrelerini üretmeyi başardı.
Ruohola-Baker’a göre bu alandaki ilerlemeler hızlanıyor:
'Klinik uygulamaya geçiş zaman alacak olsa da, bu alandaki ivme artıyor. Önümüzdeki on yıl içinde biyolojik diş onarımı veya değişimi, gerçeğe dönüşebilir'





